ホワイトニングとは
歯みがきや歯のクリーニングなどでは落としきれない歯の着色をきれいにし、歯を白くする方法です。
歯を削ることなく、歯の中にある色素を分解し、歯の明度を上げて白くするものです。
治療の流れ

ご予約・ご質問をお受けいたします。

実際に来院していただき、お口の状態(虫歯・歯周病・知覚過敏等がないか)を確認します。
また、現在の歯の色を写真に残しておきます。
※ 診査・診断・クリーニング代として保険内¥3.500程度が別途必要となることがあります。

着色や汚れの付着の状態を確認し、必要に応じてはじめにお口のクリーニングを行います。歯石がついているときには、スケーリングという歯石の除去を行う場合もあります。 歯石除去をした後に歯が一時的にしみる場合がありますのでその場合には、ホワイトニングは少し時間をあけて行うことがあります。

歯型をとり、ホワイトニングのためのマウスピースをつくります。
患者さん個々の歯形に合わせて製作いたします。

マウスピースができあがったら、マウスピースとホワイトニング剤をご自宅にお持ち帰りいただき、歯科医師に指示された時間を守って歯に装着します。1~3ヶ月継続することで多くの方が歯の白さを実感できるようになります。
ホワイトニングと同時に、毎日しっかりと歯磨きをする、喫煙をしない、着色しそうな飲食物はなるべく摂取を控えるなど日頃の生活習慣を見直し、ケアしていくことで効果をより実感できるでしょう。
ホームホワイトニング材
当クリニックでは、アメリカ合衆国のウルトラデント社のオパールエッセンスを使用しています。
オパールエッセンスは他製品に較べ粘度が高いため、着脱の際や装着中にトレーから薬液が漏れにくいという特徴がございます。また厚生労働省に認可(10%)されていますので、安心してお使い頂けます。
1回分の薬液で片顎10歯のホワイトニングが可能です。薬液は、冷蔵庫や冷所で保管してください。保管可能な期間は未開封の状態で約2年ですが、開封後はできるだけ早めにお使いください。
ご注意いただきたいこと
- お子様、また妊娠中・授乳中の方はお控えください。
- 重度の歯肉炎や歯周炎、知覚過敏、虫歯などがある方は、そちらの治療を優先します。
(治療行為に関しては、別途保険治療代がかかります。) - 詰め物や被せ物などの人工物には効果はありません。
- その他医師が適切でないと判断した場合。
歯質や変色の原因や体質などによっては、ホワイトニングができない場合や、ご希望通りの白さにできない場合もございますのでご了承ください。
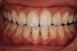
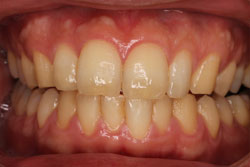
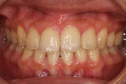
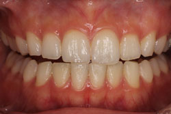
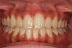
ホワイトニング症例写真
当クリニックスタッフの、ホームホワイトニング経過写真を掲載していきます。
上の歯のみホワイトニングしています。開始前、1週間後の経過写真です。
![]() 1週間経過後(上歯) |
![]() ホワイトニング開始前 |
![]() ホワイトニング1週間経過 |
![]() ホワイトニング開始前 |
![]() ホワイトニング1週間経過 |
![]() ホワイトニング開始前 |
![]() ホワイトニング1週間経過 |
![]() ホワイトニング開始前 |










